On savait déjà que vivre dans l’espace n’est pas une bonne idée si vous tenez à votre cerveau. Ce n’est pas une bonne idée si vous tenez à votre vie, tout simplement. Quatre chercheurs de l’université de Georgetown (Washington, États-Unis) sont arrivés à cette conclusion pessimiste dans une étude publiée le 1er octobre 2018 au sein de la revue PNAS (Proceedings of the National Academy of Sciences of the United States of America).
Ils y démontrent pourquoi l’espace sera sans doute fatal aux astronautes qui entreprendront de longs voyages : leur système digestif, exposé à des rayonnements cosmiques lors de ce périple, risque de développer des tumeurs. L’estomac et le côlon seront les principaux organes touchés par ces problèmes de santé.
Alors que l’humanité envisage de coloniser Mars, une telle découverte remet en cause nos ambitions de longs voyages interplanétaires. En admettant qu’une vie soit possible sur la planète rouge, à quoi bon s’y risquer si nous mourrons avant d’atteindre notre cible ? La conclusion des chercheurs, financés par la Nasa dans ce travail de recherche, soulève cette interrogation.
Nos intestins en danger dans l’espace profond
« La migration coordonnée de cellules épithéliales est essentielle au maintien de l’intégrité fonctionnelle et à la prévention des processus pathologiques dans les tissus gastro-intestinaux, et elle est également essentielle à la réussite des missions sanitaires et spatiales des astronautes », constatent les universitaires.
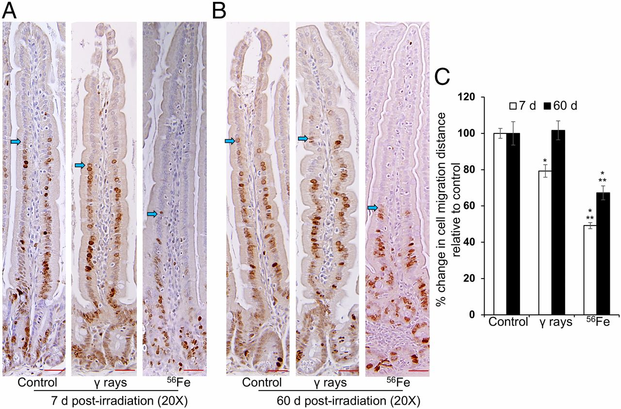
Ils parlent ici des cellules qui composent l’épithélium, un tissu de revêtement qui peut être externe (sur la peau) ou interne (à la surface d’une muqueuse). Dans ce revêtement les cellules sont solidaires et juxtaposées. Or, ces cellules risquent de ne pas apprécier la forte présence des ions énergétiques lourds, « plus répandus dans l’espace profond qu’en orbite terrestre basse ». C’est en tout cas ce qui s’est produit pour les intestins de souris sur que les chercheurs ont exposés à ces éléments.

Les intestins de souris ont été abimés par ces ions... cela serait sans doute le cas des nôtres si nous allions longtemps dans l'espace.
Source : PNASDes lésions de l’ADN
Lorsque l’organisme humain pénètre dans l’espace profond, ces ions ont pour conséquence de faire « diminuer de façon persistante la migration des cellules épithéliales intestinales, d’altérer le remodelage cytosquelettique [ndlr : l’architecture et la mécanique d’une cellule, réorganisée en permanence] et augmenter la prolifération des cellules en entrainant des lésions de l’ADN et la sénescence cellulaire, même un an après l’irradiation ». Il n’est pas nécessaire d’être biologiste pour comprendre que personne n’a envie de voir les cellules de ses intestins vivre la situation décrite par les chercheurs.
Ces ions ont une masse trop importante pour que nous la supportions
Pourquoi ces ions sont ils aussi néfastes pour le système digestif humain ? Comme l’explique le biochimiste Kamal Datta, les ions énergétiques lourds « sont dommageables en raison de leur plus grande masse, comparé aux photons sans masse comme les rayons X et les rayons gamma répandus sur Terre ».
Le spécialiste ajoute que les technologies actuelles ne permettent pas de protéger efficacement les astronautes de ces ions néfastes. Les voyages de courte durée ne sont pas préoccupants : un voyage sur la Lune n’expose pas les êtres humains aux risques de mourir de cette manière. Lors d’un plus long voyage, comme celui que l’humanité projette de faire sur Mars, le système digestif des astronautes risque par contre de vivre un véritable traumatisme.
+ rapide, + pratique, + exclusif
Zéro publicité, fonctions avancées de lecture, articles résumés par l'I.A, contenus exclusifs et plus encore.
Découvrez les nombreux avantages de Numerama+.
Vous avez lu 0 articles sur Numerama ce mois-ci
Tout le monde n'a pas les moyens de payer pour l'information.
C'est pourquoi nous maintenons notre journalisme ouvert à tous.
Mais si vous le pouvez,
voici trois bonnes raisons de soutenir notre travail :
- 1 Numerama+ contribue à offrir une expérience gratuite à tous les lecteurs de Numerama.
- 2 Vous profiterez d'une lecture sans publicité, de nombreuses fonctions avancées de lecture et des contenus exclusifs.
- 3 Aider Numerama dans sa mission : comprendre le présent pour anticiper l'avenir.
Si vous croyez en un web gratuit et à une information de qualité accessible au plus grand nombre, rejoignez Numerama+.
Toute l'actu tech en un clin d'œil
Ajoutez Numerama à votre écran d'accueil et restez connectés au futur !
Tous nos articles sont aussi sur notre profil Google : suivez-nous pour ne rien manquer !












