En 1855, le Brooklyn Daily Eagle rapportait le meurtre horrible d’une épouse par son nouveau mari. L’histoire se passait dans la campagne française, où les parents de la femme avaient d’abord empêché les fiançailles du couple « en raison de l’étrangeté de la conduite parfois observée chez le jeune homme », alors qu’il « était par ailleurs un très bon parti ».
Les parents ont finalement consenti et le mariage a eu lieu. Peu de temps après que les jeunes mariés se soient retirés pour consommer leur lien, des « cris de peur » sont venus de leurs quartiers. Les gens ont vite accouru et trouver « la pauvre fille… dans les souffrances de la mort – sa poitrine déchirée et lacérée de la manière la plus horrible, et le misérable mari dans un accès de folie débridée et couvert de sang, ayant en fait dévoré une partie du sein de la malheureuse fille ».

La mariée est morte peu de temps après. Son mari, après « une résistance des plus violentes », est également décédé.
Qu’est-ce qui a pu causer cette horrible histoire ? On se souvient alors, en réponse à des questions posées par un médecin, que le marié avait déjà été « mordu par un chien étranger ». Le passage de la folie du chien à l’homme semblait être la seule raison possible de la tournure effroyable des événements.
Le Brooklyn Daily Eagle a décrit l’épisode comme « un triste et pénible cas d’hydrophobie », ou, dans le langage d’aujourd’hui, de rage.
Mais le récit se lisait comme une histoire d’horreur gothique. C’était essentiellement un récit de loup-garou : la morsure du chien fou a provoqué une métamorphose hideuse, qui a transformé sa victime humaine en un monstre infâme dont les pulsions sexuelles vicieuses ont conduit à une violence obscène.
Mon nouveau livre, Mad Dogs and Other New Yorkers : Rabies, Medicine, and Society in an American Metropolis, 1840-1920, (La rage, la médecine et la société dans une métropole américaine, 1840-1920) explore les significations cachées derrière les récits sur la rage. Des variantes de l’histoire du marié enragé ont été racontées encore et encore dans les journaux de langue anglaise en Amérique du Nord depuis au moins le début du XVIIIe siècle, et elles ont continué aussi tard que dans les années 1890.
Le récit du Eagle est essentiellement un conte populaire sur les chiens enragés et la mince ligne de démarcation entre l’humain et l’animal. La rage a engendré une peur viscérale car il s’agissait d’une maladie qui semblait capable de transformer les gens en bêtes enragées.


Une maladie terrifiante et mortelle
L’historien Eugen Weber a un jour observé que les paysans français du XIXe siècle craignaient « surtout les loups, les chiens fous et le feu ». La folie canine – ou la maladie que nous connaissons aujourd’hui sous le nom de rage – a alimenté les cauchemars pendant des siècles.
D’autres maladies infectieuses – comme le choléra, la typhoïde et la diphtérie – ont tué beaucoup plus de gens au 19e et au début du XXe siècle. Le cri de « chien fou » suscitait néanmoins un sentiment immédiat de terreur, car une simple morsure de chien pouvait signifier une longue épreuve suivie d’une mort certaine.
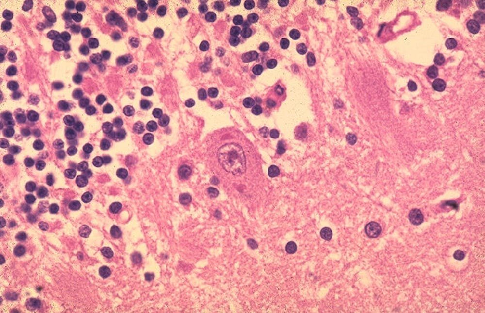
La médecine moderne sait que la rage est causée par un virus. Une fois qu’il pénètre dans le corps, il atteint le cerveau par le système nerveux. Le délai typique de plusieurs semaines ou mois entre l’exposition initiale et l’apparition des symptômes signifie que la rage n’est plus une sentence de mort si un patient reçoit rapidement des injections d’anticorps immunitaires et un vaccin, afin de renforcer son immunité après avoir rencontré un animal suspect. Bien qu’il soit rare que des gens meurent de la rage en Amérique du Nord, la maladie tue encore des dizaines de milliers de personnes dans le monde chaque année.

Selon des sources du XIXᵉ siècle, après une période d’incubation de quatre à 12 semaines, les symptômes peuvent commencer par un vague sentiment d’agitation. Ils progressent ensuite vers des épisodes spasmodiques caractéristiques de la rage, de l’insomnie, de l’excitation, de la fébrilité, un pouls rapide, de la bave et une respiration laborieuse. Il n’est pas rare que les victimes aient des hallucinations ou présentent d’autres troubles mentaux.
Les efforts visant à atténuer les accès de violence par la drogue ont souvent échoué, et les médecins n’ont pu faire autre chose que d’observer puis de témoigner. La maladie suit son cours inévitablement fatal, généralement sur une période de deux à quatre jours. Aujourd’hui encore, la rage reste essentiellement incurable dès l’apparition des signes cliniques.
Il y a des siècles, la perte de contrôle corporel et de rationalité déclenchée par la rage semblait être une attaque contre l’humanité fondamentale des victimes. D’une véritable maladie redoutée transmise par les animaux sont apparues des visions épineuses de forces surnaturelles qui ont transféré les pouvoirs des animaux malveillants et transformé les gens en monstres.
Des morsures qui transforment l’humain en animal
Les récits américains du XIXe siècle n’ont jamais invoqué directement le surnaturel. Mais la description des symptômes indiquait des hypothèses tacites sur la façon dont la maladie transmettait l’essence de l’animal infecté à l’être humain souffrant.
Les journaux décrivaient souvent ceux qui ont contracté la rage par des morsures de chien comme aboyant et grognant comme des chiens, tandis que les victimes de morsures de chat se grattaient et crachaient. Les hallucinations, les spasmes respiratoires et les convulsions incontrôlables découlaient de l’empreinte maléfique de l’animal enragé.
Les mesures préventives traditionnelles ont également montré comment les Nord-Américains ont discrètement supposé une frontière floue entre l’humanité et l’animalité. Les remèdes populaires soutenaient que les victimes de morsures de chien pouvaient se protéger de la rage en tuant le chien qui les avait déjà mordues, en appliquant les poils du chien incriminé sur la blessure ou en lui coupant la queue.

De telles mesures préventives impliquaient la nécessité de couper un lien invisible et surnaturel entre un animal dangereux et sa proie humaine.
Parfois, la maladie a laissé des traces étranges. Lorsqu’un habitant de Brooklyn est mort de la rage en 1886, le New York Herald a signalé une terrifiante apparition : quelques minutes après le dernier souffle de l’homme, « l’anneau bleuâtre sur sa main – la marque de la morsure mortelle du Terre-Neuve… a disparu. » Seule la mort a brisé l’emprise pernicieuse du chien fou.
Les racines des vampires chez les chiens enragés
Il est possible qu’en plus des loups-garous, les histoires de vampires aient aussi pour origine la rage.
Le médecin Juan Gómez-Alonso a souligné le lien entre le vampirisme et la rage dans les symptômes capillaires de la maladie – les sons déformés, les apparences faciales exagérées, l’agitation et parfois les comportements sauvages et agressifs qui faisaient paraître les personnes atteintes plus monstrueuses que les humains.
De plus, dans différentes traditions folkloriques d’Europe de l’Est, les vampires ne se sont pas transformés en chauves-souris, mais en loups ou en chiens, les vecteurs clés de la rage.
Alors que des loups-garous, des vampires et d’autres monstres descendent dans la rue pour l’Halloween, rappelez-vous que derrière le rituel annuel de la cueillette de bonbons et de déguisements, se cachent les recoins les plus sombres de l’imagination. Ici, les animaux, la maladie et la peur s’entremêlent, et les monstres se matérialisent dans ce subtil point de croisement entre l’animalité et l’humanité.
Cave canem – attention au chien.

Jessica Wang, Associate Professor of U.S. History, University of British Columbia
Cet article est republié à partir de The Conversation sous licence Creative Commons. Lire l’article original.
+ rapide, + pratique, + exclusif
Zéro publicité, fonctions avancées de lecture, articles résumés par l'I.A, contenus exclusifs et plus encore.
Découvrez les nombreux avantages de Numerama+.
Vous avez lu 0 articles sur Numerama ce mois-ci
Tout le monde n'a pas les moyens de payer pour l'information.
C'est pourquoi nous maintenons notre journalisme ouvert à tous.
Mais si vous le pouvez,
voici trois bonnes raisons de soutenir notre travail :
- 1 Numerama+ contribue à offrir une expérience gratuite à tous les lecteurs de Numerama.
- 2 Vous profiterez d'une lecture sans publicité, de nombreuses fonctions avancées de lecture et des contenus exclusifs.
- 3 Aider Numerama dans sa mission : comprendre le présent pour anticiper l'avenir.
Si vous croyez en un web gratuit et à une information de qualité accessible au plus grand nombre, rejoignez Numerama+.
Toute l'actu tech en un clin d'œil
Ajoutez Numerama à votre écran d'accueil et restez connectés au futur !
Tous nos articles sont aussi sur notre profil Google : suivez-nous pour ne rien manquer !











